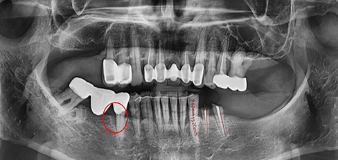
뉴욕메디슨치과는 치아가 흔들린다고
무조건 빼고 임플란트를 하지 않습니다.
잇몸속 치아를 싸고 있는 치조골이 2/3 정도 소실되면
임플란트를 하고 그보다 치조골 손실이 적으면 비수술식
잇몸 치료를 통하여 자연치아를 최대한 살리려고 노력합니다.
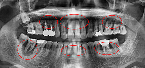
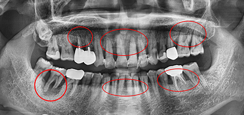
무조건 빼고 임플란트를 하지 않습니다.
잇몸속 치아를 싸고 있는 치조골이 2/3 정도 소실되면
임플란트를 하고 그보다 치조골 손실이 적으면 비수술식
잇몸 치료를 통하여 자연치아를 최대한 살리려고 노력합니다.




