
부러지거나 회복 불가한 앞니 뿌리
(※치주염에 걸리지 않은)

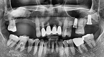
모의수술을 통해 맞춤형 수술 유도장치를 제작하여 비절개로 임플란트를 식립하기 때문에 통증을 줄이고 회복 속도를 높인 컴퓨터분석을 이용한 임플란트로 부담을 줄여드립니다.
개인의 잇몸 라인에 맞게 상부 기둥을 맞춤 제작하는 방법으로 자연스러운 잇몸라인은 물론
이물질 침투가 어렵기 때문에 건강한 임플란트 관리에 용이합니다.

임플란트 식립 전, 임플란트가 심겨질 잇몸 건강 상태를 회복시킨 후에 임플란트를 식립합니다.
때문에 오래 사용할 수 있는 임플란트 치료가 가능합니다.